众力资讯网

两个信号,说明你的肺结节,不能再拖了! 第一:结节相关症状突然出现或加重 如果

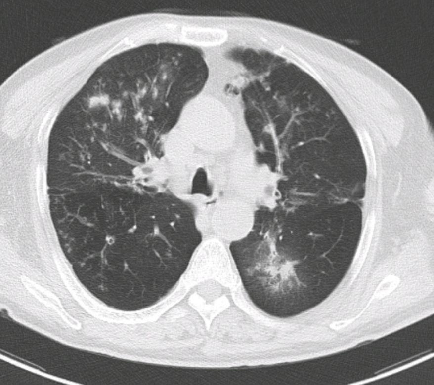
两个信号,说明你的肺结节,不能再拖了! 第一:结节相关症状突然出现或加重 如果之前没有任何不适,近期突然出现不明原因的干咳、咳嗽带痰,甚至痰液中带血丝、铁锈色痰;或是频繁感到胸闷气短、胸痛位置固定且持续不缓解,这些都可能是结节刺激肺部组织、引发局部炎症或病变进展的表现。 第二:影像学检查提示结节 “高危特征” 如果复查时发现肺结节的大小、形态、密度发生明显变化,变成不规则形状,出现 “分叶、毛刺、胸膜牵拉” 等,密度从磨玻璃样变为实性或混合磨玻璃实性,这些都是临床上判断结节恶性风险较高的关键指标,要及时干预。