众力资讯网

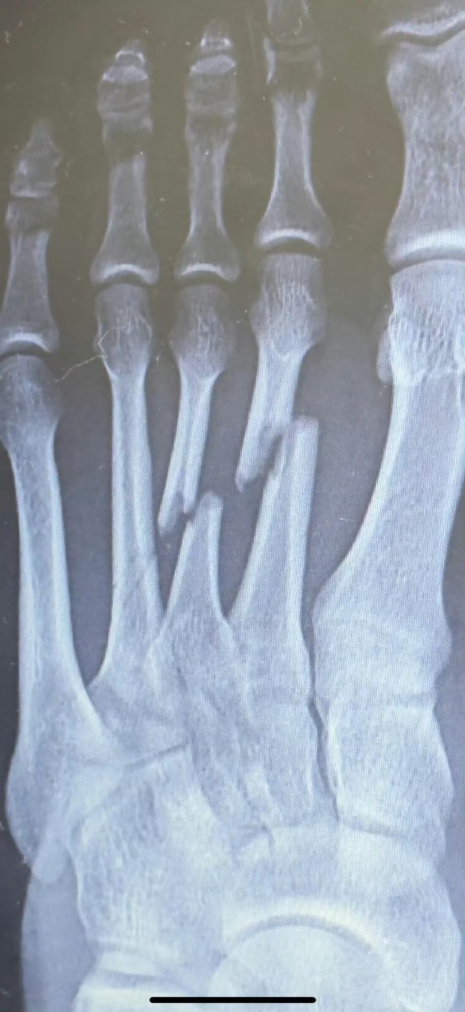
网友:脚砸伤了,没管!一年后自愈了……

网友:脚砸伤了,没管!一年后自愈了……

评论列表

三和大神
三和大神 77
2025-12-08 10:01
你这都畸形愈合了好不好

人间有正义 回复 12-08 20:39
还要给他打断重新接

用户26xxx12
用户26xxx12 61
2025-12-08 17:18
除了有点问题,其他没问题
用户10xxx95
用户10xxx95 45
2025-12-09 11:29
这样的骨折,不管是不可能正常走路的。只需要复位固定不扰动(夹板,或者石膏)拐杖,护理3个月即可。

用户91xxx34 回复 12-11 16:00
三个月即可是什么意思?难道你以为三个月就能长好吗[哭笑不得]

bingo
bingo 44
2025-12-08 13:18
这都没管,狠人啊
去薯条整点码头
去薯条整点码头 39
2025-12-08 14:17
错位愈合,我有个脚趾也是
赚钱养佳
赚钱养佳 35
2025-12-08 12:16
狠人
KK
KK 27
2025-12-08 12:47
我老妈以前骑自行车把右手大拇指摔骨折了,怕花钱都没去医院看过,现在大拇指废了动不了而且时不时会疼。

KK 回复 沙漠猎手 12-10 07:51
还治什么治,都二十多年了。[笑着哭]

沙漠猎手 回复 12-09 23:26
赶紧去骨科治疗啊

伴你行天涯、
伴你行天涯、 22
2025-12-09 04:30
。。。要么接受变形。要么医生给你再打断重接。
汪星人很条皮
汪星人很条皮 20
2025-12-07 16:50
当初没拿木条固定好,还是歪了点
绝对的正义
绝对的正义 15
2025-12-09 17:34
这是圆钢变成螺纹钢了
用户11xxx61
用户11xxx61 15
2025-12-08 21:57
这要是在腿上你就瘸了

树洞影评 回复 12-09 09:42
也不一定,中段的还好,关节部位的重要一点。

007
007 9
2025-12-08 19:44
不可能,除非你坐轮椅出门的
艾玛介孩子真棒
艾玛介孩子真棒 9
2025-12-09 18:22
不合常理。。。。摔了脚知道去医院拍片子,拍完片子不治疗,等到畸形愈合了再去拍个片子。?有了AI真的啥都得怀疑一下

用户18xxx90 回复 12-11 19:00
还真有我有个朋友妈妈就是

支卜织布知
支卜织布知 7
2025-12-09 07:37
对位这么差也能长好属于奇迹了
被推下河的猫
被推下河的猫 7
2025-12-08 23:13
畸形愈合
Ethereal
Ethereal 7
2025-12-08 21:59
骨头肯定是可以愈合的,但是……真的穷到矫正都不舍得做吗
淡 NO 定
淡 NO 定 7
2025-12-09 17:36
这个不是很严重的,我见过5根全折而且错位的,因为经济困难没有处理,就那样自己愈合了,除了外观不好看没有遗留其他毛病。其实仔细想想,脚上骨头骨折落毛病的几率不大,参考以前缠足的小脚老太太
ㄨ∫乄幽忧乄∫ㄨ
ㄨ∫乄幽忧乄∫ㄨ 6
2025-12-09 00:16
没矫正,骨头增生了,畸形了吧
晨风暖
晨风暖 6
2025-12-09 20:25
对自己太狠了
用户91xxx34
用户91xxx34 6
2025-12-11 15:59
要不是我同一位置骨折我就信了,这叫跖骨,我当时是断了一根,而且还没有完全断开,根本下不了地,打石膏瘸了大半年才勉强走路,每隔三个月照片来看,骨痂长得相当慢,这TM都断来歪成啥样了,一年就能长好?别忽悠不懂的人好嘛[狗头]

狮身人 回复 狮身人 12-12 10:35
还有前交叉韧带损伤,髌韧带扭曲

狮身人 回复 12-12 10:35
每个人位置不同感觉不一样吧,我11月1日,在武夷山月亮湾摔伤,右足三处骨折(第二跖骨、第三跖骨、楔骨),右膝十几条韧带肌腱损伤,半月板损伤,内侧副韧带撕裂,髌骨内侧支持带损伤,股四头肌肌腱断裂,下肢静脉血栓,住了三次院做了三次手术花了5.5万,但右脚一直没处理没打石膏没买护具,我一个月就下来走路了,现在虽然是冬天,右脚肿的只能穿洞洞鞋。

用户29xxx96
用户29xxx96 5
2025-12-09 12:09
方钢愈合成螺纹钢[哭笑不得]
用户10xxx27
用户10xxx27 5
2025-12-08 18:14
天气冷受冻会痛的,还有等年龄大了也会。
宁静致远
宁静致远 4
2025-12-09 07:09
这部位,畸形愈合也没啥问题。
用户94xxx06
用户94xxx06 4
2025-12-10 22:11
动物的脚吧
33个带电小球
33个带电小球 3
2025-12-08 21:43
钢筋铁骨,螺纹钢混凝土
金沙水拍云崖暖
金沙水拍云崖暖 3
2025-12-09 20:58
所有的病都是自己好的,治疗只是辅助,好的更快。
__叶湘伦__
__叶湘伦__ 2
2025-12-08 21:30
去年我的第二个脚指头骨折去医院看了也就拿了个接骨丸其它都没管到现在偶尔还疼
威武霸气
威武霸气 2
2025-12-08 13:03
外形有点炫酷

阿建 回复 12-08 19:58
螺旋加固

cc
cc 2
2025-12-10 18:52
这个古代就是跛子了
666
666 2
2025-12-11 19:44
代码只要能跑就别动
晴天
晴天 2
2025-12-08 22:10
80年前,基本靠畸形愈合
用户18xxx49
用户18xxx49 2
2025-12-10 08:44
长成钢筋的样子
云端
云端 2
2025-12-10 11:14
有没有一种说法叫畸形愈合,会不会影响以后
我会喊666
我会喊666 2
2025-12-10 22:50
必须给它打断重新接骨,不直看着不爽,我强迫症
用户10xxx80
用户10xxx80 2
2025-12-10 20:54
错位了,这样有后遗的,要接回去还要打断……
yasng06
yasng06 2
2025-12-09 13:49
过去没钱看病的人都这样啊,骨头折了不管就折啥样,长啥样呗[吃瓜]
氪佬
氪佬 2
2025-12-11 21:54
这是没有开刀接骨钉,只是夹板固定加石膏
天马座的小谁谁
天马座的小谁谁 2
2025-12-10 13:07
我怎么觉得强度更高了
飞过海
飞过海 2
2025-12-09 22:13
畸形愈合,我的锁骨也是畸形愈合。
唔艿楊康綄媄濺慷
唔艿楊康綄媄濺慷 2
2025-12-10 00:02
我当年也是这位置轻微骨裂,自然好了后骨折位置经常隐隐作痛…他这样…不痛死?[大哭]
美好生活
美好生活 2
2025-12-09 19:10
只要自己不觉得难受就好
用户10xxx87
用户10xxx87 2
2025-12-10 15:11
骨头确实会自动连接起来,但是不去医院就行归位处理,断口会错位连接,造成畸形,
一剑客
一剑客 2
2025-12-11 20:34
不疼吧?还是患者能忍住不喊疼?
洞妖两拐
洞妖两拐 1
2025-12-08 20:14
畸形
用户10xxx35
用户10xxx35 1
2025-12-10 12:14
会不会变成练武奇才
嘴角轻扬
嘴角轻扬 1
2025-12-11 20:33
特么你还接上螺纹钢了?[捂脸哭]
用户11xxx89
用户11xxx89 1
2025-12-08 20:21
成螺纹骨了
tamadejingranshini
tamadejingranshini 1
2025-12-10 13:03
我的骶骨错位90度我说什么了,甚至五六年后才知道,因为那年冬天疼的实在受不了去医院,片子刚出来医生就在大厅那叫我名字让我赶紧手术,我去拿片子,说是我自己的,他还不信
烟花
烟花 1
2025-12-09 13:53
是个狠人!
了大师_
了大师_ 1
2025-12-10 20:01
不如蒙古大夫
自从
自从 1
2025-12-10 23:43
锁骨断了,没管半年,也不是长住了
灰烬。
灰烬。
2025-12-09 20:23
余生走路都疼