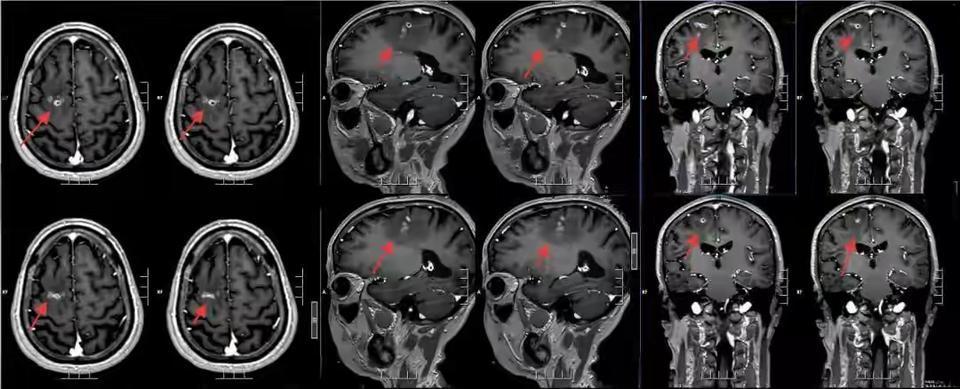
男子21年不敢独自出门,因活虫在脑内潜伏多年!背后真相戳中无数人:你忽略的小习惯,可能正在“养蛊” 看到这个标题,你是不是和我一样头皮发麻?21年,近八千个日夜,贵州男子老张(化名)始终被一种莫名的恐惧裹挟——不敢独自出门,不敢关灯睡觉,哪怕轻微的头痛都能让他浑身发抖。直到去年夏天,一次突发的癫痫抽搐送他进医院,医生从他脑部取出的东西,让所有人倒吸一口凉气:一条长达5厘米的活虫,竟在他颅腔内潜伏了21年! 老张的人生,从21年前那碗“鲜掉眉”的野味开始彻底转折。彼时他还是工地上的壮小伙,工友从山里捕到野生蛇,几人架起篝火烤着吃,他也跟着尝了几口。“当时就觉得肉嫩,没多想”,谁能想到,这一口“鲜味”竟成了埋在脑子里的“定时炸弹”。起初只是偶尔头痛,后来发展到视力模糊、肢体麻木,最可怕的是夜晚总能听到“嗡嗡”的异响,仿佛有东西在脑壳里爬。 他跑遍了大小医院,CT、核磁共振做了无数次,却始终查不出病因。医生一度怀疑是精神问题,家人也渐渐失去耐心,只有老张自己知道,那种深入骨髓的恐惧有多真实。“我总觉得脑子里有东西在动,怕一出门就会失控,怕再也回不来”,21年里,他的活动范围不超过家门口50米,从活泼开朗的小伙熬成了沉默寡言的中年人,错过了孩子的成长,也辜负了妻子的陪伴。 直到去年,医生结合他的病史和影像学报告,大胆推测可能是寄生虫感染,通过开颅手术,终于将那条早已成年的裂头蚴取出。当虫子被完整取出的那一刻,老张摸着还缠着纱布的头,突然嚎啕大哭:“21年了,我终于能睡个安稳觉了!” 可这起悲剧,真的只是“贪吃一口野味”那么简单吗?背后藏着的,是无数人都在犯的致命误区:觉得“野生的就是好的”,迷信“偏方补身体”,却忘了大自然的“馈赠”往往带着致命的风险。从生吃鱼片感染肝吸虫,到误食福寿螺引发脑膜炎,再到今天老张的遭遇,每一个案例都在警示:所谓的“鲜味”“偏方”,可能都是通往病痛的“捷径”。 更戳心的是老张21年的隐忍与无助。多少人在面对不明病因的痛苦时,被贴上“矫情”“精神失常”的标签,独自承受着身体与心理的双重折磨?老张的幸运在于,他最终等到了真相大白的一天,可还有多少人,正在被未知的病痛困住? 评论区聊聊:你身边有没有人有吃野味、生吃食物的习惯?你觉得哪些“饮食习惯”其实暗藏风险?赶紧提醒身边人,别让一时的侥幸,毁掉一辈子的幸福!人型寄生虫 瑶族蛊虫 虫卵观察

