众力资讯网
下午第一台糖尿病足三次腔内治疗再次未规律服药再次狭窄闭塞,下肢溃烂发黑...
2025-11-25 07:42:25
肖哥铅衣勇士
健康
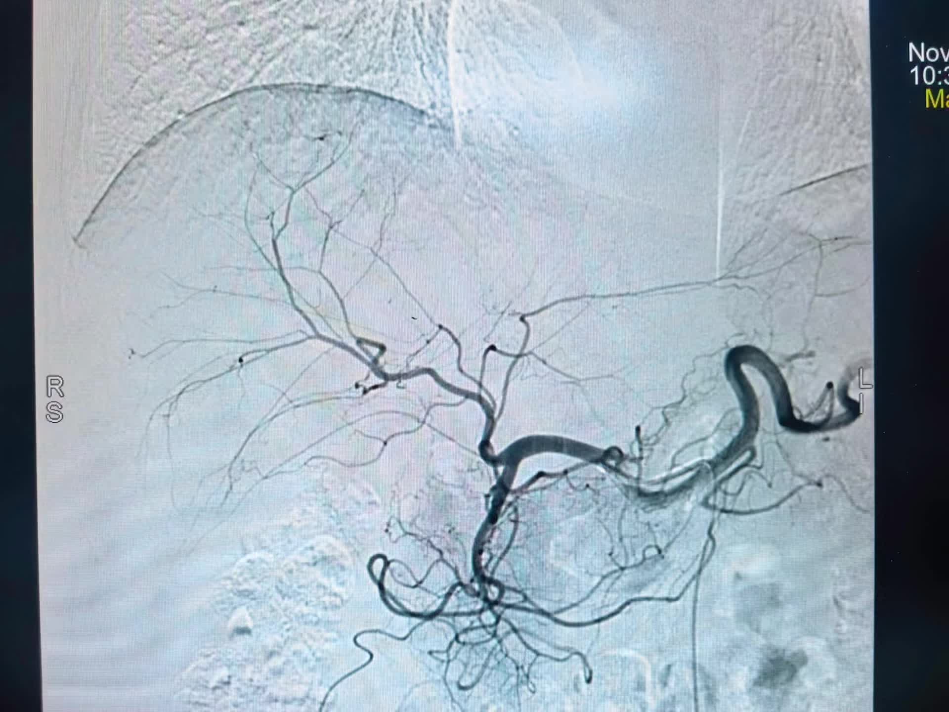
下午第一台糖尿病足三次腔内治疗再次未规律服药再次狭窄闭塞,下肢溃烂发黑,疼痛难忍。再次行球囊扩张术,术后皮温恢复,疼痛减轻。 第二台腮腺癌肝转移,经穿刺活检后证实后。行载药微球的灌注化疗栓塞。
热门分类
推荐
热榜
军事
NBA
体育
社会
明星八卦
娱乐
财经
科技
汽车
历史
国际
游戏
动漫
公益
搞笑
商业
互联网
数码
国际足球
房产
家居
时尚
科学探索
职场
育儿
股票
教育
影视
情感
热点
中国军情
武器
中国南海
中国足球
亚洲杯
科比
综合体育
CBA
投资
楼市
大咖秀
外汇
创业
风口
SUV
豪车
概念车
优惠
新能源
美国
欧洲
朝日韩
俄罗斯
孕期
街拍
恋爱攻略
婚姻
正能量