众力资讯网

旅客上铺跌落致女童骨折,母亲维权遇“失联”困境,律师解析

一趟平凡的列车旅程,竟成10岁女孩的噩梦。深夜时分,上铺男子突然跌落,重重砸向熟睡的女童。顷刻间,哭声震耳,腿骨断裂,一
一趟平凡的列车旅程,竟成10岁女孩的噩梦。深夜时分,上铺男子突然跌落,重重砸向熟睡的女童。顷刻间,哭声震耳,腿骨断裂,一场关于责任与担当的考验就此展开……

事件回顾:深夜惊变,女童股骨粉碎

2025年8月24日凌晨,列车驶近无锡站,朱女士与女儿在下铺安然入睡。突然,一阵异响伴随剧烈晃动,女儿凄厉的哭喊声划破夜空。惊醒的朱女士只见一名男子怔立一旁,女儿蜷缩呻吟:“腿不能动了!”

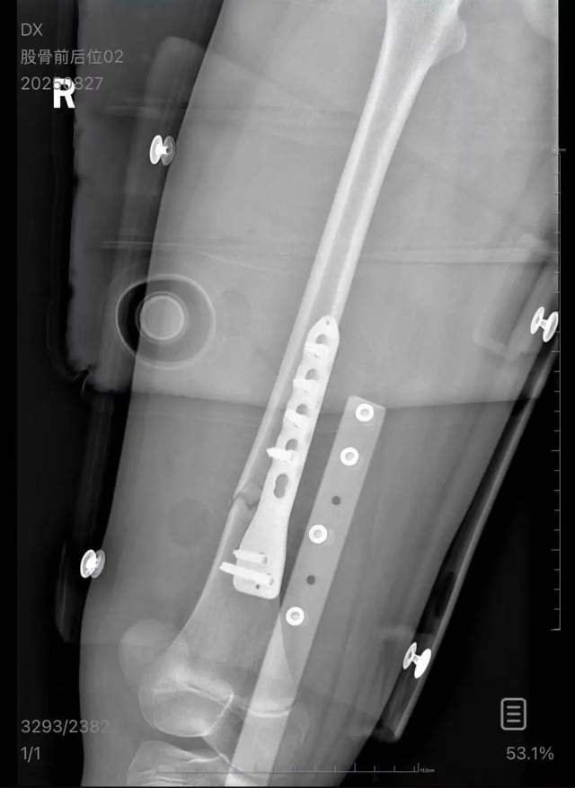
事后得知,该男子本欲下车,因折返取眼镜时列车晃动,失手从上铺跌落,正中女孩右腿。医院诊断令人揪心:右股骨粉碎性骨折。救护车疾驰、手术灯亮起,一场突如其来的灾难,彻底改变了这个家庭的暑假。

维权困境:从主动担责到音讯全无

事发初期,男乘客尚显诚意——陪同就医、垫付费用、购置用品。然而情势急转直下:女孩术后次日,他以“筹钱”为由离开,随后联络骤减。9月初最后一次通话中,他要求寄送医疗票据后便彻底失联。

“若他坦然面对,我们本可谅解。”朱女士痛心道,“如今孩子卧床百日,学业中断,游泳梦想破灭,这种逃避令人心寒!”据悉,女孩需长期康复,后遗症未卜,心理阴影更难以衡量。

法律解析:过错认定与维权指南

1. 侵权责任明确法律专家指出,男乘客因疏忽致人损伤,违反《民法典》第1165条,需承担侵权责任。其失联行为不仅加重伤害,更可能面临法律严惩。

2. 铁路责任待查若证实列车异常晃动系诱因,铁路方需依《民法典》第1198条承担补充责任。目前无锡站已确认协助处理,警方介入调查。

3. 维权路径清晰建议当事人汇集医疗记录、监控视频等证据,向铁路法院提起诉讼。同时可核查“乘意险”等保险条款,通过多种渠道争取赔偿。

深度思考:安全防线与责任担当

此案暴露出双层卧铺安全隐忧:防护设施是否充足?警示措施是否到位?更值得深思的是,从“临时担当”到“彻底逃避”,折射出部分人责任意识的缺失。网友齐声支援:“逃避解决不了问题,勇敢面对才是正道!”朱女士表示将坚持法律维权,为女儿讨回公道。

结语 让每段旅途都有安全归宿

一次跌落,砸痛了两个家庭;一场逃避,拷问着人性良知。当孩子的欢笑被泪水淹没,当社会的信任遭冷漠侵蚀,法律应当成为守护正义的利剑。此案警示世人:责任重于泰山,担当方显本色。我们期待朱女士维权成功,更期盼每段旅程都能平安抵达。

(本文基于权威信源采写,为保护当事人隐私已做技术处理)

互动话题

您乘坐卧铺列车时是否担心过安全问题?对于此类意外伤害维权,您有何建议?欢迎留言讨论,共同促进交通安全改进!