2024年2月,美国食品药品监督管理局(FDA)批准了第一款用于实体肿瘤的TIL细胞疗法Amtagvi(lifileucel)上市,这为许多在手术、化疗和放疗后失败的黑色素瘤患者提供了一种新的治疗选择。克里斯·怀特(Chris White)正是有幸在Amtagvi获批前接受该疗法的临床试验患者之一。他的成功不仅改写了个人的命运,也让我们看到了肿瘤浸润淋巴细胞(TIL)疗法的强大潜力。

36岁确诊罕见转移性黑色素瘤
克里斯·怀特的癌症之旅始于一个看似普通的症状-直肠上的肿块。起初,他以为是痔疮,并未在意,然而,当右腹股沟出现另一个肿块时,他意识到有些不对劲。诊断结果如同晴天霹雳,年仅36岁的他被诊断出患有一种罕见的转移性肛门直肠黏膜黑色素瘤。
接下来的几年,克里斯与癌症展开了一场艰苦的斗争。他接受了手术,切除了20个淋巴结,还进行了放疗,并接受了Opdivo、Yervoy、Keytruda等多种药物治疗。然而,癌症就像一个顽固的敌人,一次次卷土重来。到2019年12月接受TIL细胞之前,克里斯的癌症已经转移到肝脏、肺部、肾脏和大脑,并且由于克里斯的脑转移病灶并未经过治疗,因此他没有资格参加TIL临床试验。医生甚至委婉地建议他考虑临终关怀并安排善后事宜,这无疑是宣判了“死刑”。
但克里斯坚持了下来。两周内,他完成了脑部治疗,实现了疾病控制,最终在预定的输液日期接受了TIL治疗。因为他知道TIL细胞疗法可能是他唯一的希望。

什么是TIL细胞疗法?
肿瘤浸润淋巴细胞(TIL)疗法通过识别并筛选肿瘤组织中的免疫细胞(即肿瘤浸润淋巴细胞),这些细胞能够特异性识别并攻击患者自身的肿瘤细胞。随后,科研人员在实验室中将筛选出的免疫细胞进行大量扩增,最终回输至患者体内,由此实现杀伤肿瘤的目的。
肿瘤浸润淋巴细胞(TILs)已经浸润到肿瘤中,所以它们知道如何找到癌细胞,但它们的肿瘤杀伤能力受到抑制,或者根本没有足够的T细胞来根除癌症。因此需要TIL疗法来将它们在实验室中激活并将它们繁殖成数十亿个,然后返回给患者。
正如克里斯的医生所解释的那样,“这就像一个吃豆人角色在迷宫里慢慢吃豆子和樱桃,效率低下。而科学家们要做的是,在体外为克里斯培养出数十亿个‘吃豆人’,然后一次性回输到克里斯的体内,帮助克里斯的免疫系统凭借其绝对数量优势迅速‘吃掉’所有癌症细胞。”
克里斯之前只听说过CAR-T细胞疗法。CAR-T细胞疗法是近年来出现的另一种过继细胞疗法,也是在实验室中进行扩增。但是TIL疗法不同于CAR-T疗法,CAR-T疗法使用从患者血液中提取的T细胞,这些细胞必须经过基因修饰才能识别癌症细胞上的特定抗原(或蛋白质)。TIL疗法不需要基因工程,它只需进行扩增和激活即可。
TIL疗法的治疗流程
TIL疗法主要包含以下几个步骤:
1.,患者必须接受手术切除其中一个肿瘤以提取TIL细胞。肿瘤不需要位于癌症发生的原始位置;TIL细胞可以从淋巴结或癌症扩散的其他器官中收集。
2.TIL细胞在实验室中进行培养、扩增。
3.大约一个月的时间,患者接受化疗,以抑制他们的免疫系统并为接受TIL做好准备。
4.将TIL细胞注入血液中以循环和追踪癌细胞。
5.与此同时,患者还接受一种称为白细胞介素2的免疫增强药物,以帮助TIL细胞存活并生长。

奇迹降临:“一切都消失了!”
2020年1月15日,克里斯成为了C-144-01黑色素瘤临床试验中最后一位接受输注的患者,成功回输了他那支在体外扩增的“TIL大军”。
2020年2月底的首次复查,克里斯内心忐忑,希望TIL疗法防止病情恶化。然而结果远超预期。TIL治疗不仅阻止了克里斯黑色素瘤的进一步扩散,而且还实现了减少。扫描显示,他全身的癌细胞减少了50-60%。之后在9个月检查中,医生告诉他,他已经达到了“完全代谢反应”。他在10月份的扫描只显示一个似乎是癌症的“点”。
2021年1月,在他接受TIL治疗一年后,他的医生告诉他迄今为止最好的消息“一切都消失了,癌症被根除了,他被治愈了!”
2024年春天,克里斯成为了一名自主出版作家,《用TILs疗法战胜癌症》以日记形式记录了他从确诊到完成最后一次治疗的抗癌历程。

克里斯接受的TIL疗法产品便是他试验结束四年后,美国食品药品监督管理局(FDA)正式批准的Lifileucel(Amtagvi),这是第一个治疗实体瘤癌症的细胞疗法。实体瘤约占所有癌症病例的80%,其他细胞疗法,例如嵌合抗原受体(CAR)T细胞疗法,主要用于淋巴瘤、白血病和多发性骨髓瘤等血癌。TIL的成功,犹如打开了紧闭的大门,不仅为许多晚期黑色素瘤患者提供了新的治疗选择,也为其他实体瘤的治疗带来了希望。
TIL疗法在胃肠癌试验再传捷报
2025年4月,美国国立卫生研究院主导的TIL细胞疗法在转移性胃肠癌治疗中的临床试验取得显著成效,并发表于《自然医学》。
这项临床试验共纳入91例转移性胃肠癌患者(包括食管癌、胃癌、胰腺癌、结肠癌和直肠癌。),这些患者此前平均接受过4种治疗方案,但都有进展。在试验第二阶段中,39名接受选择性肿瘤浸润淋巴细胞(TIL)治疗的患者中有3名(7.7%)达到了目标缓解。在第三阶段,34名患者在接受选择性TIL输注之前接受了pembrolizumab预处理,以防止新引入的免疫细胞被患者自身的免疫系统抑制。该组疗效最好,23.5%(8/34)的患者达到了客观缓解。
在试验的第二、三阶段中,观察到各种胃肠道癌症的客观反应,包括结直肠癌、胰腺癌和胆管癌。单用筛选TIL治疗组的缓解持续时间介于8个月至5.8年以上,而联合治疗组的反应持续时间则从4个月到3.5年不等。

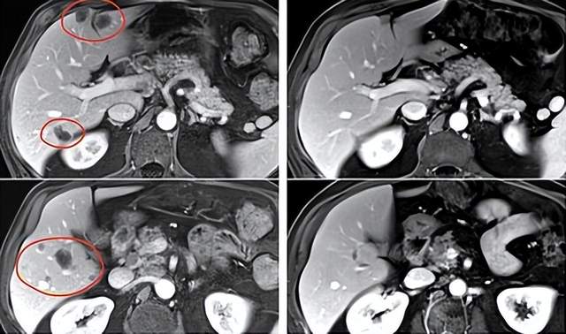
在接受TIL疗法和帕博利珠单抗治疗10个月后,一名直肠癌患者肝转移病灶大幅缩小。
该试验为TIL细胞疗法治疗胃肠道癌症提供了希望。
结语
克里斯·怀特的故事以及美国国立卫生研究院主导的临床试验向我们展示了TIL细胞疗法在实现深度和持久缓解甚至治愈方面的巨大潜力。但是这条路依然漫长,目前,TIL治疗面临着制造工艺复杂、成本高、适应症有限等挑战。但随着研究的深入,TIL细胞治疗有望为未来更多类型的癌症患者带来希望。